*仅供医学专业人士阅读参考粤友优配
胰腺炎反复发作,原因为哪般?
撰文 | 刘一条
急性胰腺炎(AP)是一种胰腺急性炎症和组织学上腺泡细胞破坏为特征的疾病,是急诊科常见消化系统急症之一,常常由局部发展累及全身器官及系统而成为重症急性胰腺炎(SAP)。
近日,急诊入院一位在晚餐后出现上腹剧痛的患者,临床表现有头晕和轻度的恶心,但并没有呕吐。AP最常见的病因是胆道疾病、高脂血症、饮酒,轻型患者呈不剧烈的上腹部深压痛及轻度肌紧张,笔者借此梳理这位患者诊治的过程,同时分享AP入院后的分析思路与流程,愿大家也有所收获。
病例简介
患者为40岁男性,在晚餐后不久,因数小时内急性加重的慢性上腹痛来急诊科就诊。疼痛剧烈,评分为8分(满分10分),并放射至左下腹,伴有头晕和轻度恶心,但没有呕吐。
既往病史:高甘油三酯血症(HTG),可能为家族性,伴有多次复发性胰腺炎发作,最近一次发作是在2个月前,症状类似。最近确诊为慢性胰腺炎。入院时服用的药物包括瑞舒伐他汀、烟酸、非诺贝特、二十二碳五烯酸乙酯和omega-3脂肪酸。无吸烟史、饮酒史或非法药物使用史。
磁共振胰胆管成像(MRCP)显示:导管狭窄和扩张。
急诊初诊检查:体温36.5°C,心率64次/分,呼吸22次/分,血压117/88mm Hg,体重指数(BMI)25.7kg/m2。
体格检查示:患者神志清楚,但稍有痛苦表情。腹部听诊显示肠鸣音正常。腹部柔软,无胀气,上腹部和左下腹部压痛,无肿块或器官肿大。
实验室检查:血液显著乳糜,白细胞11.1×109/L,中性粒细胞8.52×109/L,血红蛋白13.2g/dL(13.2至16.6g/dL),血小板230×109/L,电解质在正常范围内,血糖水平为127mg/dL(最近一次进食约在7小时前),血清肌酐1.06mg/dL,总胆红素0.3mg/dL,28U/L,天门冬氨酸氨基转移酶28U/L,碱性磷酸酶60U/L,脂肪酶283U/L,乳酸0.7mmol/L。
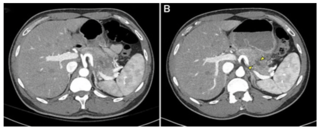
腹部/骨盆计算机断层扫描(CT)示:患者曾行胆囊切除术,胆管正常,胰腺尾部出现条索影和水肿(图1)。结合患者最近的MRCP,这些影像学发现与急性加重的慢性胰腺炎一致。

图1.初次就诊当天腹部/骨盆CT结果
诊疗思路
Q1:以下哪一项是该患者AP最可能的病因?
a.胆结石
b.HTG
c.药物不良反应
d.酒精使用
e.自身免疫过程
答案
点击下方空白处获得答案及解析
答案:b
病案分析:
胆结石较少发生在肝酶和胆红素水平正常、胆囊缺失和CT上胆管正常的情况下;故排除。该患者服用的药物与胰腺炎无关。因为患者入院时表示没有喝酒,并且没有检测数据表明长期饮用酒精。缺乏影像学支持的诊断发现,如弥漫性胰腺肿大或局部肿块,因此自身免疫性胰腺炎可能性较小,故三者排除。
根据2023年亚特兰大分类法,患者被诊断为轻度急性间质性胰腺炎:轻度AP是有自限性的,不治疗也可能好转,一般是指胰腺出现局部炎症,并没有器官功能衰竭及其他并发症出现[1]。
患者住院后粤友优配,给予250ml/h的乳酸林格液,使用对乙酰氨基酚止痛,并禁食。次日早晨,患者的空腹脂质谱显示甘油三酯(TG)水平为37mmol/L,总胆固醇水平为6.3mmol/L。其促甲状腺激素水平为1.4mIU/L(0.3至4.2mIU/L)。
根据中华急诊医学杂志《急性胰腺炎急诊诊治专家共识2024》高甘油三酯血症性急性胰腺炎(HTG-AP)诊断标准要点[2]:HTG-AP诊断标准为TG>11.3mmol/L,或TG 5.65~11.3mmol/L但血清呈乳糜状,并排除其他病因。符合诊断。
Q2:下列哪个是治疗该患者HTG的最佳下一步措施?
a.持续肝素输注
b.增加口服降脂药剂量
c.持续胰岛素和葡萄糖输注
d.皮下注射长效胰岛素
e.长时间禁食
答案
点击下方空白处获得答案及解析
答案:c
肝素可以通过短暂升高脂蛋白脂酶(LPL)暂时降低血液TG水平,后者能从血液中清除乳糜微粒。然而,由于出血风险以及脂毒性风险(由于释放游离脂肪酸可能导致反弹性HTG),不推荐其用于此指征[3]。
增加口服降脂药剂量在短期内不太可能有效,也无法控制这一水平的HTG。
持续胰岛素和葡萄糖输注是快速降低血液TG水平的最佳下一步措施,比皮下注射胰岛素更优,因为可以更容易调整剂量。胰岛素可以升高LPL活性,而LPL可以催化TG转化为游离脂肪酸及甘油,从而降低血TG水平。
如果胰岛素输注未能将TG水平降低至5.6mmol/L以下或患者的临床状态恶化,可以考虑血浆置换以快速去除血液中的TG。由于延迟营养在AP中被发现会导致更差的结果,因此不推荐长时间禁食,并且通常推荐早期肠内营养。
持续胰岛素和葡萄糖输注速率:使用常规胰岛素/5%葡萄糖溶液进行输注,速率取决于患者的血糖水平。在12小时内,患者的血清TG水平降到11.6mmol/L,由于低血糖(血糖水平为47mg/dl)和整体临床改善,停止了胰岛素输注。入院第3天,患者开始恢复进食且疼痛改善。再次行空腹脂质谱显示TG水平为7.8mmol/L,总胆固醇水平为174mg/dl,(LDL)胆固醇水平为57mg/dl(<100mg/dl),高密度脂蛋白(HDL)胆固醇水平为14mg/dl(≥40mg/dl)。出院安排了内分泌和临床基因组学的会诊以进一步管理HTG。
Q3:下列哪个饮食建议对该患者出院时最合适?
a.高碳水化合物饮食
b.限制膳食钠摄入
c.限制液体摄入
d.低脂饮食
e.低胆固醇饮食
答案
点击下方空白处获得答案及解析
答案:d
对HTG患者,推荐限制碳水化合物摄入,重点是减少高血糖指数食物,这些食物消化的产物较为简单,可以转化为TG。限制钠或液体摄入对血液TG水平影响不大。低脂饮食是控制该患者重度TG和复发性胰腺炎的关键,理想情况下摄入的脂肪量应少于总热量的5%。膳食胆固醇对血液TG水平影响不大。
胰腺的“复仇”,就餐后再次腹痛入院
患者经过饮食教育后出院,三天后,他在吃了一个三明治后再次因复发性、剧烈的上腹部和左上腹部疼痛及腹胀来到急诊。他表示近期食欲减退但无其他异常症状粤友优配,对乙酰氨基酚和羟考酮无法缓解患者的疼痛感。
生命体征:体温36.7°C,心率62次/分,呼吸频率19次/分,血压115/85mmHg,氧饱和度100%。体格检查与前次就诊时无变化。
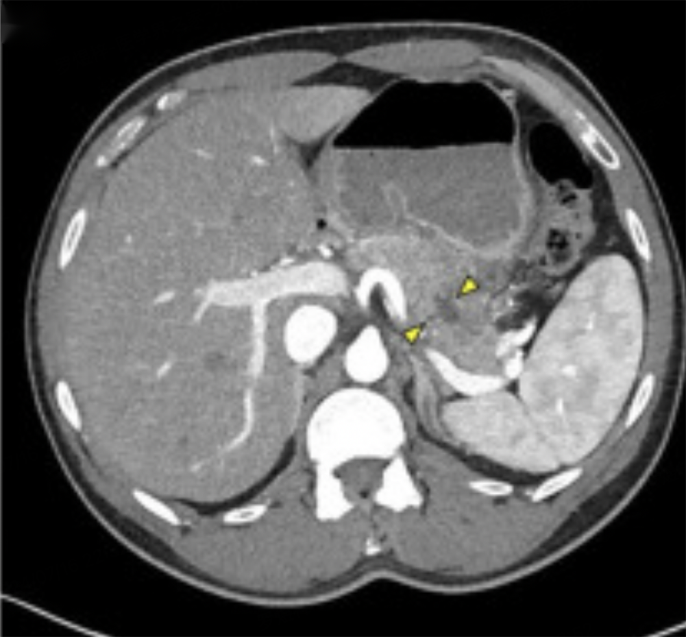
实验室检查:再次显示乳糜血,血红蛋白水平为13.8g/dl,血小板计数为193×109/L,白细胞计数为6.7×109/L。电解质水平在正常范围内,除了碳酸氢盐水平为20mmol/L(22至29mmol/L);其血浆葡萄糖水平为97mg/dl,肌酐水平为0.87mg/dL。肝功能检测显示正常,血清脂肪酶值为107U/L(13至60U/L)。腹部/骨盆CT扫描显示胰腺尾部新出现一个1cm的非增强低密度区(图2)。这究竟是怎么引起的?

图2.腹部/骨盆CT结果,黄箭头之间显示的为1cm的不增强低密度区域
思考时间:
Q4:你们认为下列哪个是该患者最近AP可能的并发症?
a.急性坏死物积聚
b.慢性胰腺炎
c.胰腺假性囊肿
d.包裹性坏死
e.脾静脉血栓
答案
点击下方空白处获得答案及解析
急性坏死物积聚胰腺和胰腺周围组织急性坏死,无明确的组织壁。常出现在发病后2~3周,影像上显示固体或半固体(部分液化)。此外,血清TG水平大于11mmol/L的患者局部并发症如急性坏死物积聚的发生率更高。虽然该患者有慢性胰腺炎的临床和影像学证据,但新的坏死物积聚不能完全由此诊断解释。胰腺假性囊肿通常在胰腺炎发作4周后诊断,表现为一个包囊状、明确界限的集合,无明显坏死。包裹性坏死也通常在胰腺炎发作4周后诊断,有成熟的明确包膜[4]。
脾静脉血栓将在CT上表现为脾静脉出现低密度区域,并一般表现为脾肿大、脾门区压力增大或由此引起门静脉高压所致的胃肠道出血。
患者再次住院,这次医生决定为他保守治疗,策略包括使用乳酸林格液、极低脂饮食和疼痛管理。入院次日晨空腹血清TG水平为18mmol/L,给予常规胰岛素/葡萄糖输注直至TG水平降至11mmol/L以下。
几天后出院,并在一周后进行了临床基因组学随访。详细探寻了患者病史发现HTG在患者儿童时首次发现,26岁时首次发作胰腺炎。详尽的家族病史显示,母亲的一个姐妹有HTG,但其他家人,包括其父母、兄弟和5个子女都相对健康。这是否表明患者的症状或许能在基因中溯源?
Q5:病理机制串联:下列哪一种缺陷可能导致该患者的家族性HTG?
a.LDL受体
b.前蛋白转化酶枯草溶菌素9(PCSK9)
c.LPL
d.载脂蛋白B-100
e.载脂蛋白E
答案
点击下方空白处获得答案及解析
LDL受体缺陷主要与家族性有关,导致肝脏对血液LDL的摄取减少。PCSK9参与调节LDL受体表达,罕见的激活突变会导致血液LDL升高;PCSK9缺陷相反会导致血液LDL降低,因为LDL受体的降解减少。因此,PCSK9是用于治疗难治性高胆固醇血症的单克隆抗体的靶标[5]。LPL酶负责从血液中清除乳糜微粒,缺乏时会导致家族性乳糜微粒血症综合征。载脂蛋白B-100缺陷导致家族性低贝塔脂蛋白血症,结果是低LDL胆固醇。载脂蛋白E缺陷与家族性异常贝塔脂蛋白血症有关,导致中间脂蛋白增高[1]。
患者进行了基因检测,发现LPL基因中有一个纯合致病变异,具体为c. C833T, p. Ser278Phe。其他检测的基因(包括ABCG5, ABCG8, APOB, APOC2, APOC3, APOE和CYP27A1)均正常。因此,患者被诊断为家族性乳糜微粒血症综合征,这是一种常染色体隐性疾病,导致严重的HTG、暴发性黄瘤和反复发作的胰腺炎[6]。
主要干预方式是严格限制总膳食脂肪摄入少于20g/天,目前正在研究靶向治疗。患者被告知其子女的必携带者状态,他们的患病风险取决于其母亲的携带者状态。
病例讨论
虽然不常见但HTG是AP的一个众所周知的原因,占2%至4%的病例。
1、如何诊断HTG-AP?
首先符合胰腺炎的诊断标准;其次血清TG水平≥1000mg/dl(11.30mmol/L),或血清TG水平为500~1000mg/dl(5.65~11.30mmol/L)但血清呈乳糜状;再次排除AP的其他病因[2]。

图3.HTG-AP的诊断流程
2、HTG-AP严重程度进行分级:
(1)轻症型,无器官功能衰竭,无局部或全身并发症,病死率极低;
(2)中度重症型,伴一过性(≤48h)器官功能衰竭,或伴局部或全身并发症,病死率<5%;
(3)重症型,伴持续性(>48h)器官功能衰竭,病死率达36%~50%。
此外,在HTG控制不佳的患者中,反复AP相当常见,在高甘油三酯相关性胰腺炎患者中的发生率高达三分之一。不像本例,高甘油三酯相关性胰腺炎患者发展为慢性胰腺炎相对罕见[7-9];在某观察性研究中,只有约17%高甘油三酯相关性胰腺炎患者发展为慢性胰腺炎,而且在有其他风险因素如饮酒或吸烟的患者中更常见[3]。
3、HTG-AP如何治疗?
•降脂药
HTG-AP病因治疗的关键在于快速降低血清TG水平,我国指南推荐:轻型HTG-AP患者胃肠功能可耐受时应尽早口服降脂药物,首选贝特类降脂药物,将血清TG水平快速降低至500mg/dl(5.65mmol/L)以下。
•肝素
患者应遵循极低脂饮食并避免为了降低TG而对患者行肝素输注。低分子肝素可促进HTG-AP患者TG水解,但由于单独、长期使用低分子肝素可能导致TG水平再次升高,因此应与其他降脂药物联合应用。
•胰岛素
胰岛素用于迅速降低血液TG水平,尽早应用胰岛素控制HTG-AP,可促进乳糜微粒降解、降低血清TG水平,但需监测血清TG水平并严格监测血糖。HTG-AP患者应用胰岛素治疗的控制目标为血清TG水平≤500mg/dl(5.65mmol/L),且血糖控制范围为110~150mg/dl(6.1~8.3mmol/L)。
参考文献:
[1]Michael J .Rigby,Reema K. Tawfiq,Jason H. Szostek.40-Year-Old Man With Epigastric Abdominal Pain and Nausea[J].MAYOCP,2023;66:09.005 .DOI:https://doi.org/10.1016/j.mayocp.2023.09.005
[2]《高甘油三酯血症性急性胰腺炎诊治急诊专家共识》专家组. 高甘油三酯血症性急性胰腺炎诊治急诊专家共识[J]. 中国全科医学,2021,24(30):3781-3793,F01. DOI:10.12114/j.issn.1007-9572.2021.02.028
[3]GUBENSEK J , BUTUROVIC-PONIKVAR J , ROMOZI K ,et al. Factors affecting outcome in acute hypertriglyceridemic pancreatitis treated with plasma exchange:an observational cohort study[J]. PLoS One, 2014,9(7):e102748. doi: 10.1371/journal.pone.0102748 .
责任编辑:叶子
*\"医学界\"力求所发表内容专业、可靠,但不对内容的准确性做出承诺;请相关各方在采用或以此作为决策依据时另行核查。
驰盈策略提示:文章来自网络,不代表本站观点。